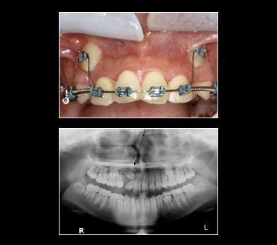
Impacted Canine
Canine teeth are also commonly referred to as cusped or "eye teeth" since the teeth align under your eyes. You should have two canines in both your upper and lower jaw. They are the strongest teeth you have, used for tearing into your most meaty meals. Because of this need for strength, your canines have the longest roots of all your teeth. They are an essential part of your bite and balanced smile for two main reasons:
- Your Bite
Due to their length, the canines guide your other teeth together when chewing and biting. Canines are essential for maintaining a proper bite. - Your Appearance
Without canines, large gaps appear in your smile. This can lead to your other front teeth becoming twisted or crooked.
Your canine teeth are generally some of the last teeth to erupt. Occasionally they do not erupt. The two most common reasons are:
- Overcrowding in your mouth
Extra teeth or a small jaw can cause the space where your canines are supposed to come in to be very small, resulting in impaction, or failure to erupt. - Abnormal growths
Tissue may have developed in your jaw that prevented your canines from reaching the surface.
The fact that teeth don't always come in like they're supposed to highlights the need for regular dental visits when young teeth are developing. If you suspect your child has impacted canines, don't hesitate to make an appointment with InfoStar Dental Template 1. With regular dental visits, x-rays and examinations, the problem of impacted canines can be found out early when treatment is easier. If you are an adult and your canines have not erupted InfoStar Dental Template 1 can help. Set an appointment today for an x-ray and consultation. Your smile is up there waiting for you.
Treatment for Impacted Canines
After assessing your situation, InfoStar Dental Template 1 will devise a plan to make room for your canines. With a typical oral surgery and the assistance of an orthodontist your canine will find their way into their proper place over time.

